Testimonios Reales
CERTIFICACIONES
Tu sonrisa en manos de un profesional con formación nacional e internacional.

Sistemas de Ortodoncia
Corrección biomecánica con las técnicas más avanzadas del sector.
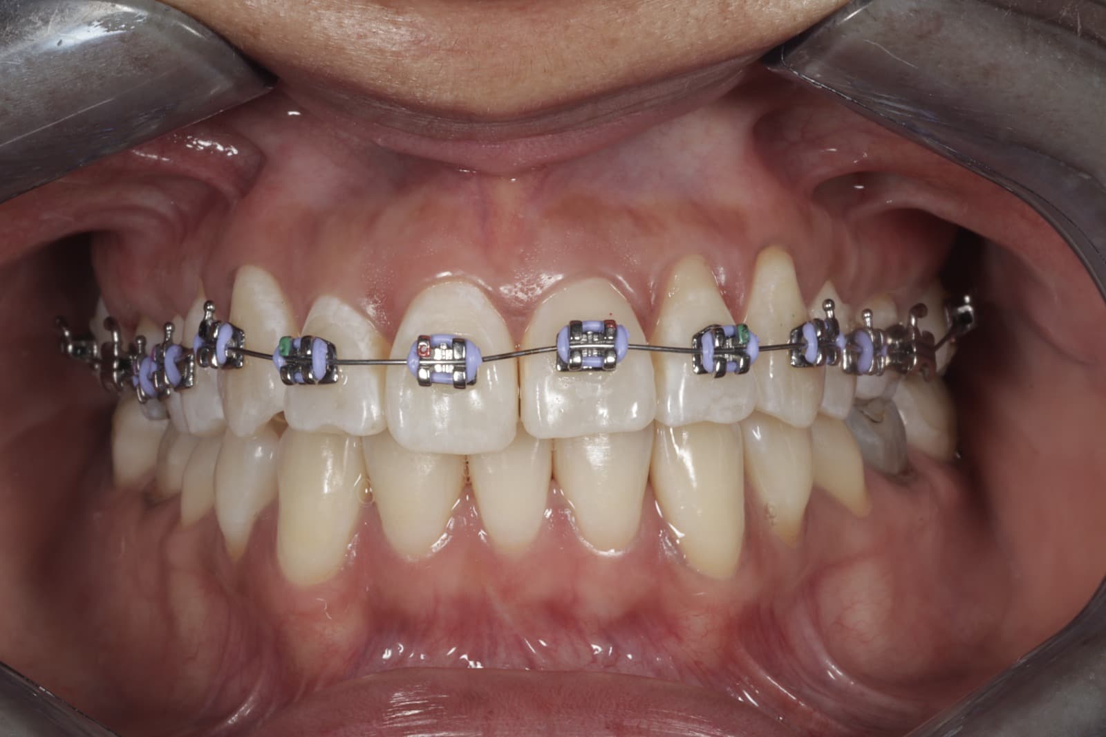
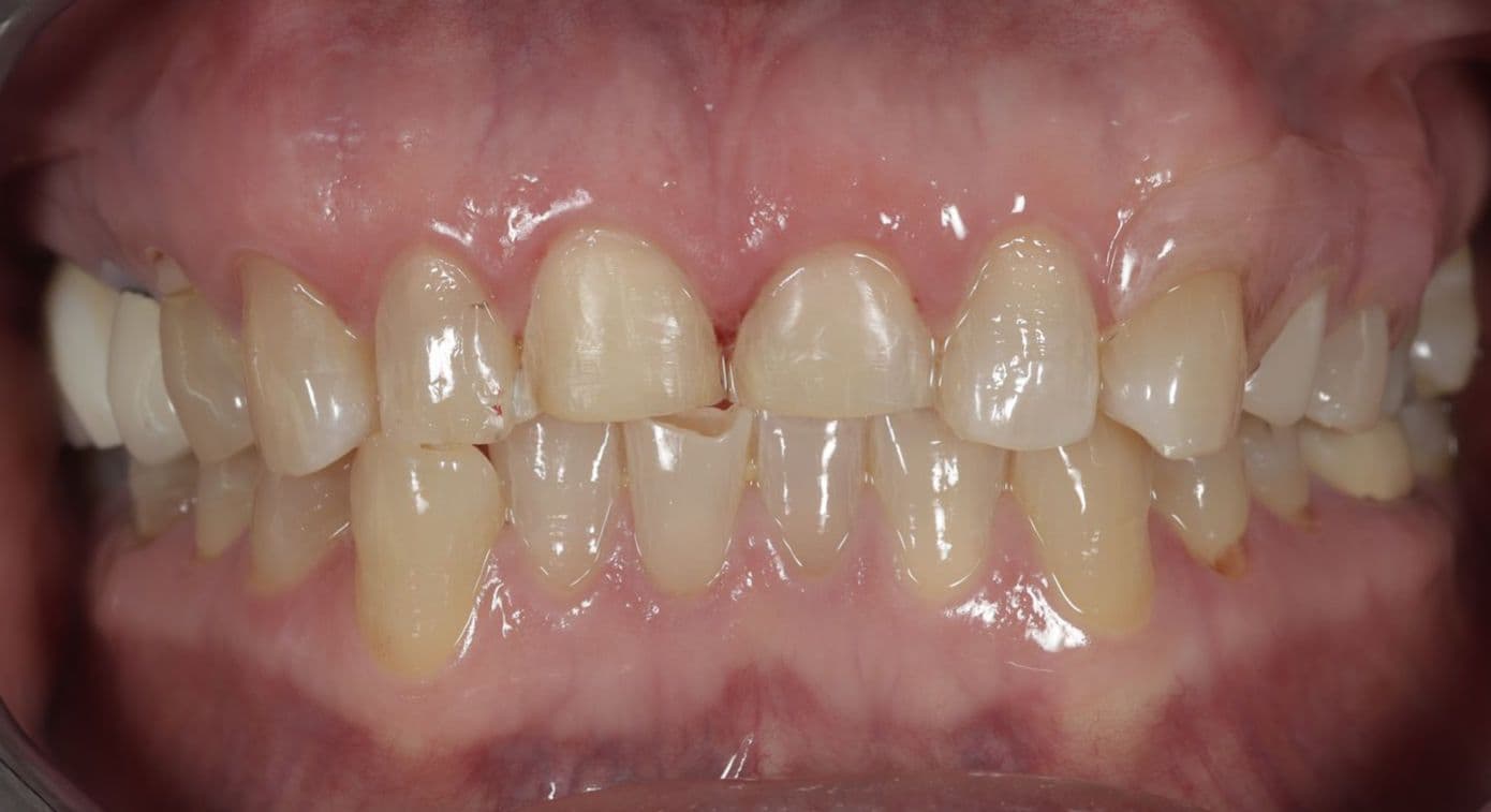
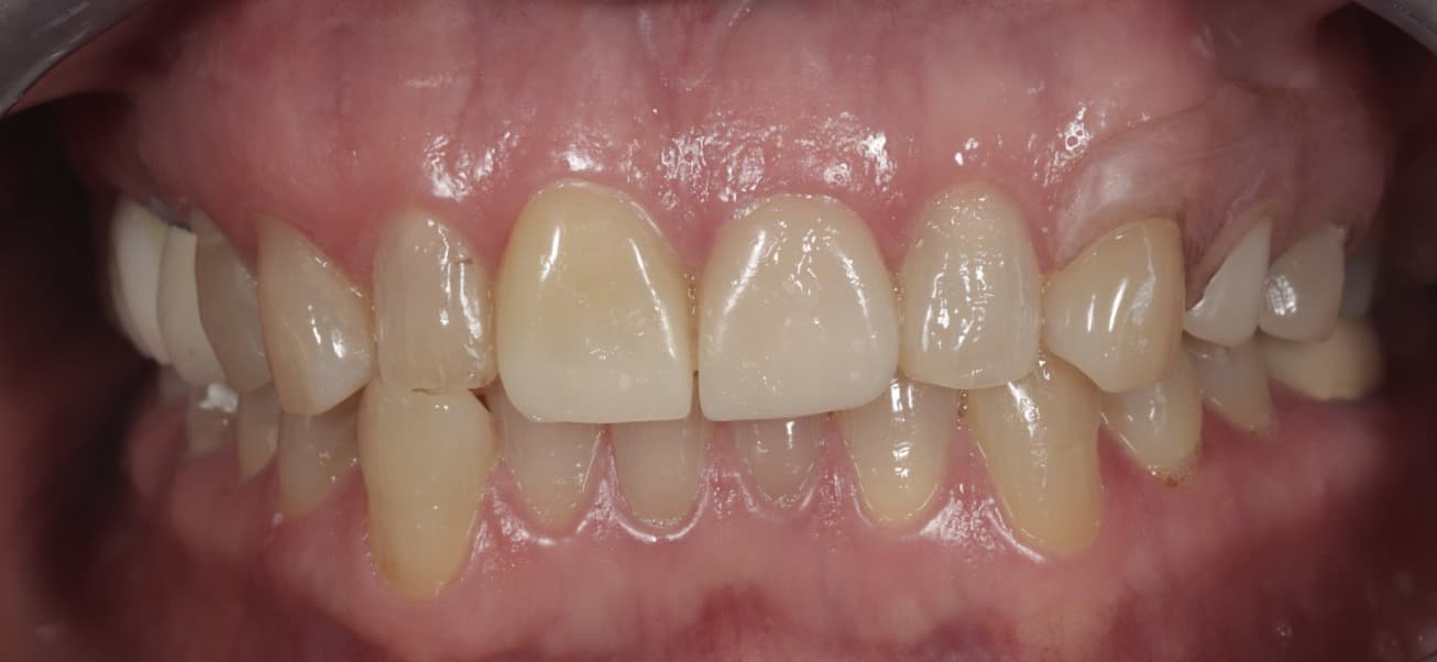
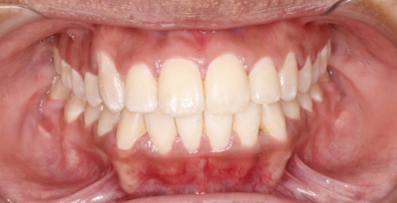
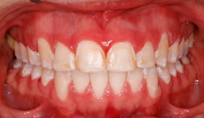
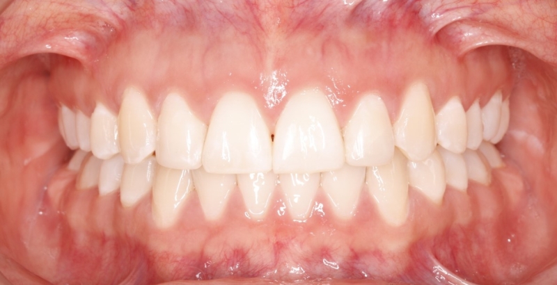
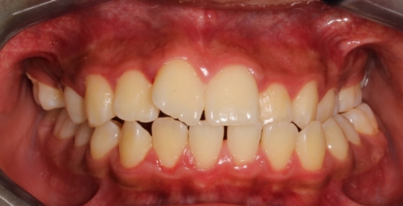
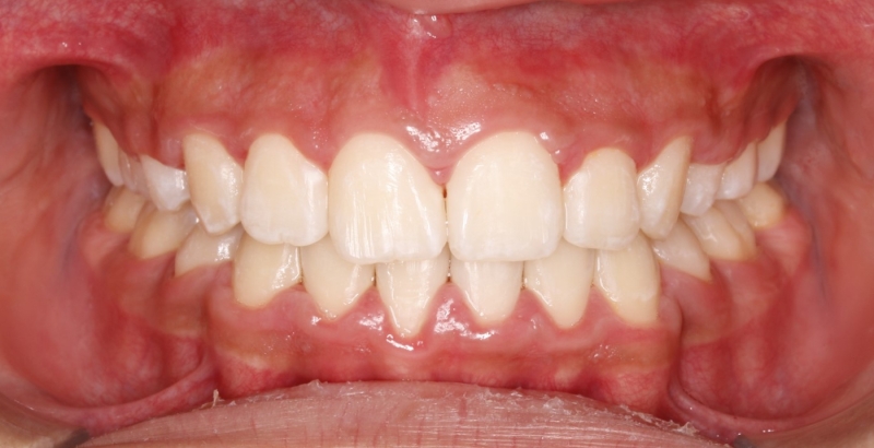
Resultados reales: La evidencia de nuestra precisión clínica.
Odontología Integral
Cuidado integral para tu salud y estética bucal.

Aclaramiento Dental Químico
Tratamientos de estética dental seguros para una sonrisa más brillante.



Rehabilitación Oral
Restauración funcional y estética de piezas dentales dañadas.

Cirugía Maxilofacial e Implantología
Resolución de problemas óseos complejos y reposición de piezas con implantes de alta gama.
Excelencia en Ortodoncia




El Dr. David Cervantes es un ortodoncista apasionado con más de 5 años de trayectoria. Se especializa en tratamientos de alta complejidad técnica, utilizando escaneo intraoral y planeación 3D para resultados biológicamente estables y estéticamente superiores.
Certificado por los organismos líderes en ortodoncia a nivel nacional e internacional, garantizando estándares clínicos de excelencia.



Testimonios
Escucha directamente de un paciente
Ver Video
Instalaciones de Vanguardia








Contacto
Ubicación
DIRECCIÓN
Av. Coyoacán 1878, Acacias, Benito Juárez, 03100 Ciudad de México, CDMX
TELÉFONO
HORARIO DE ATENCIÓN
Lunes a viernes: 9:00 AM a 7:00 PM
Sábado: 9:00 AM a 3:00 PM














